
Dr. Gerard Tjon a Joe, DDS
Founder, TaJ Dental Cosmetics
Meet Dr. TaJ
Dr. TaJ is an internationally-renowned dentist, specializing in minimally invasive cosmetic dentistry and smile makeovers.
The professional journey of Dr. Taj began at the Academic Centre for Dentistry Amsterdam, where he earned his degree in 1987. Throughout more than three decades in the field, he has masterfully refined his craft by specializing in the intricate worlds of aesthetic and cosmetic dentistry.
He views his profession as the ultimate intersection where medical science meets artistry. In his perspective, dentistry goes far beyond the technicalities of oral health because it serves as a powerful means of restoring personal confidence and designing smiles that truly change lives.


Why choose Dr. TaJ?
Over the years Dr. TaJ has expanded his expertise across four disciplines: general dentistry, implantology, periodontology, and orthodontics. This means that in most cases, you receive your complete care under one roof, with one trusted doctor who knows your full dental history.
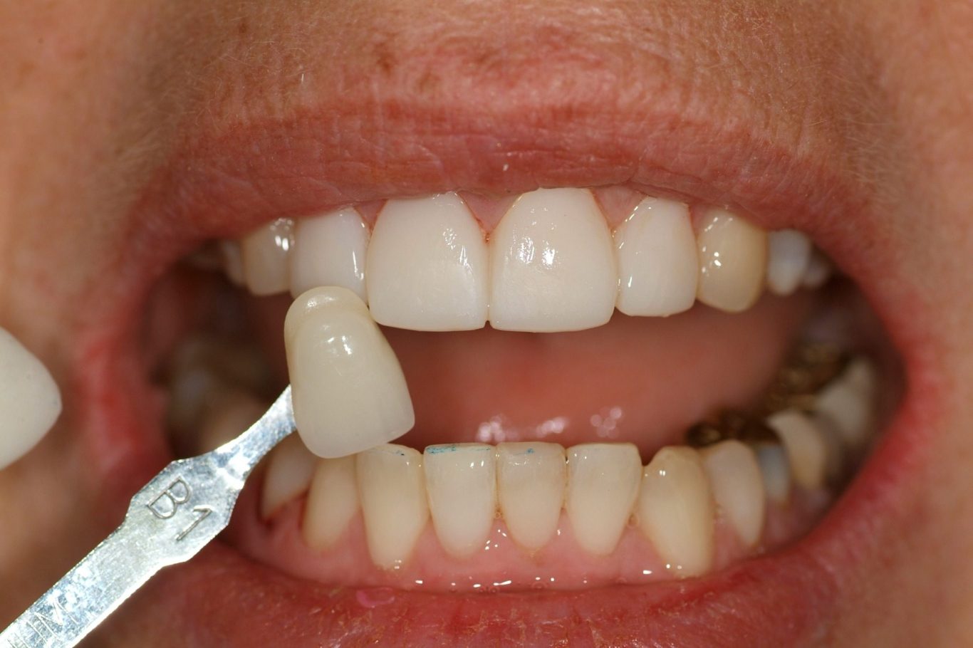
What truly sets Dr. Taj apart is his CEREC laboratory. As both owner and programmer of his own in-house CEREC lab, he designs and crafts porcelain restorations himself , with the hands and eye of an artist. Crowns, veneers, and ceramic work are created on-site, allowing for a level of precision, colour accuracy, and personal attention that external laboratories simply cannot match.

Implants
A dental implant is a small titanium post that is placed in the jawbone to replace the root of a missing tooth. Once healed, it supports a crown, bridge, or full restoration on top, giving you a permanent result that looks and functions like a natural tooth.

Veneers
We offer porcelain and composit custom-made, ultra-thin shells designed to cover the front surface of teeth to improve your smile’s shape, color, and alignment.

Professional Teeth Whitening
Brighten your smile several shades in just one visit.
Our services
Explore our services. If you don't find what you need, feel free to contact us.
Schedule a Consultation
A great smile starts with a conversation. During an initial cosmetic consultation, we listen to your goals and perform a detailed analysis of your facial features. We don’t just fix teeth; we design smiles that look natural and feel great.
Request an in-person or virtual consult using the contactform below.
Cancellation Policy:
If you need to reschedule or cancel your appointment, please notify us at least 24 hours in advance to avoid a cancellation fee.
